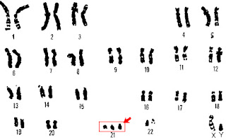
See that?
See the arrow?
That's how some people see people with Down Syndrome.
That's how many, if not most, people who wear white coats see people with Down Syndrome.
See the arrow?
That's how some people see people with Down Syndrome.
That's how many, if not most, people who wear white coats see people with Down Syndrome.
See that little box?
See what's inside the box?
Many see only that.
They can't see outside the box.
Because if they did, this is what they'd see.
See what's inside the box?
Many see only that.
They can't see outside the box.
Because if they did, this is what they'd see.
See that?
See that smile.
That's what the arrow is pointing to.
A person.
Who smiles.
Who delights.
Who feels love.
Who feels life.
See that smile.
That's what the arrow is pointing to.
A person.
Who smiles.
Who delights.
Who feels love.
Who feels life.
And if they managed to actually see ...
They'd have to ask
questions.
And those who have all the answers ...
Are never really
fond of questions.
Tomorrow is World Down Syndrome Day.
Question
Authority.
(These images were
plucked off the web, if I have violated copyright, accept my apologies and let
me know, I'll credit, remove, or change.)



20 comments:
Can't sleep, so I thought I'd check and see if you had updated your blog. You had!! And it is wonderful. Thanks for what you do Dave, it makes a difference.
i got a picture of my daughters Karyotype from her doctor, and as all proud parents we showed it to everyone! "Look , just look at the beautiful 21st chromosome!!" Hey, not everyone can brag about their childs chromosomes :) Again thanks for this post!!
Perfect post.
Love it Dave! As mom to three kids with DS (plus 5 others!) that little extra piece happens to be our favorite!
Maybe one of us should make up a bumper sticker that says "My kids has more chromosomes than your kid" like all those ones about how my kid is an honor student. I'd buy one of those.
LOVE LOVE LOVE
RETRAIN THEM I SAY! They need the right answers too. INFORMED information that is accurate and unbiased not she will never walk or she likely will DIE or she has 'IT' in every cell so she will not be able to survive when in fact SHE WILL and will THRIVE.
there are a lot of extra chromosome braggin rights all around Facebook--get one printed up and I AM BUYING SOME and handing them out!!!
If you are looking for information and QUICK visit
www.downsyndromepregnancy.com and contact your local Down syndrome support group or Club 21 at www.clubtwentyone.org
OH MY I LOVE THE NEXT POST TOO--QUESTION AUTHORITY!
If you are looking for balanced information quickly please see www.downsyndromepregnancy.com. It is a website that has a FREE and downloadable information packet about Down syndrome that was put together by parents, medical professional, therapists and several Down syndrome organizations. The website also has forums to discuss issues too.
Also available is a brochure for friends and families of people learning about a diagnosis of a child with Down syndrome.
Also contact your local DS support group by google or the National Down Syndrome Society at www.ndss.org or Club 21 at www.clubtwentyone.org.
What a beautiful post, Dave.
Thank you Dave :)
I hope things are turning, that it's getting understood that people with DS can have fulfilling lives. Whenever there start to be more born, that'll be the real proof, I guess.
In the past few years, I've noticed more adults with DS out in the world. There might be more, but I figure it's just as likely they were there and now I'm just more tuned in to disability.
I figure (but never asked) that a good friend of mine back in high school has Noonan syndrome. Even though a lot was noticeable, I never think of her being disabled unless the discussion is disability. Otherwise, she's just, you know, her -- and it was like that to me from the beginning, afaik. Based on some brief interactions with her parents alone, I got the feeling they were told horror stories much like those common with parents of kids with DS. Last I knew, she was working part-time at a retirement home... and loving it. She's more than her face, her eyes, her height, her math skills. And so are people with Down syndrome. Horrible that there are people who would hold (and have held) these folks back, even (in the case of DS, especially) encouraged the potential parents not to allow them be born. Worse still that many of these people hold credentials that make them more likely to be listened to.
Thank you, Dave
Sharon
I love you Dave, Please let me know when you will be in the US, hopefully New England (it is beautiful here)Boston would be a great stop for you!! The link below is a brochure that was based on a questionaire for parents that knew prenatally (sp) about the Down Syndrom diagnosis. I'm Susan from Cranston, RI and they actually used part of my answer as the title of the brochure! Very honored indeed! My daughter Haley is almost 16, has friends, sleepovers, people in her life that ADORE her!! I have been sooo blessed since she has come into our lives! Hope you enjoy the brochure!
http://www.ndsccenter.org/resources/documents/Light-Tunnel-all-LR.pdf
Beth - love this "She's more than her face, her eyes, her height, her math skills."
Very well put - Thank you.
LOVELY!
Great post!!! So true in so many ways. Thanks for sharing.
nice work keep it up
here-here!
Dave thank you again for always bringing decency and respect to the table. What a wonderful post. We need to make your blog required reading for the rest of the world!
All the best,
Hannah Jacobs
I think it is very true that a lot of people can only look at an individual with an intellectual disability such as Down syndrome, by what is documented or by test and not see the person as a living human.
Post a Comment